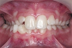
Orthodontic problems: Posterior Cross-bite

The upper teeth should fit outside the lower teeth like a lid on a box. If the upper jaw is too narrow, the lower jaw usually swings to one side to allow the back teeth to mesh.

A posterior cross-bite results. Posterior cross-bites can result in uneven wear of the teeth and can place extra strain on the jaw joint resulting in tempero-mandibular joint problems.

Orthodontic treatment involves the use of a fixed or removable appliance to widen the upper jaw (maxillary expansion).

Once the upper jaw has been widened, the lower jaw can close normally.

Front teeth can also erupt in anterior cross-bite.

   
    © Australian Society of Orthodontists