Orthodontic problems: Ectopic teeth

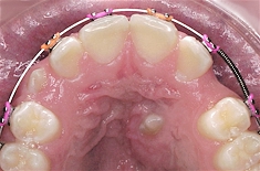
Ectopic teeth are teeth which develop in the wrong position.

In most cases, ectopic tooth can be moved into the correct position with braces.

In this case, an ectopic canine (eye tooth) was surgically exposed and braces were used to move it into its correct position.

 

   
    © Australian Society of Orthodontists