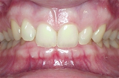
| The upper and/or lower front teeth can overupt to produce a deep bite.
In severe cases, the upper teeth can cover the lower teeth completely.
A deep bite can cause excessive wear of the front teeth and can damage the gum behind the upper front teeth.
Deep bites can exert excessive strain on the jaw joint resulting in tempero-mandibular joint problems. |