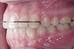
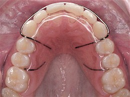
Retainers

At the completion of active orthodontic treatment, the braces are removed and retaining appliances (retainers) are fitted to hold the teeth steady in their new position. These appliances may be removable plates or wires fitted behind the teeth.

Retainers play an important role in orthodontic treatment for, if they are not worn according to instructions, the teeth are likely to move back towards their original position.

There are numerous types of retainer and just about as many sets of instructions on when to wear them!

The important thing is - retainers must be worn frequently enough and for long enough to keep them fitting comfortably.

 

   
    © Australian Society of Orthodontists