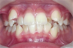
Orthodontic problems: Crowded teeth

 

A disharmony between tooth-size and jaw- size can result in crowded, irregular teeth.

Crowded teeth can be unattractive and more difficult to clean. They are prone to uneven wear.

Orthodontic treatment usually involves the use of braces which are the most efficient and accurate way of aligning teeth.

Sometimes it is necessary to extract teeth to provide sufficient space to allow the teeth to be aligned in a stable and harmonious position within the jaws and face.

 

 

   
    © Australian Society of Orthodontists