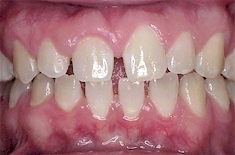
| Spaces can result from a disharmony between tooth-size and jaw-size or by abnormal tongue thrusting activity.
Spaces between the teeth can look unattractive and can interfere with speech.
Orthodontic treatment usually involves the use of braces to align the teeth and to close the spaces.
Abnormal tongue activity must be eliminated or the spacing is likely to recur. |