Orthodontics
What is Orthodontics?
Orthodontic Problems
Crowded teeth
Spaced teeth
Protruded teeth
Under bite
Deep bite
Open bite
Cross bite
Missing teeth
Impacted teeth
Ectopic teeth
Thumb sucking
Other problems
Why Straighten Teeth?
When to start treatment
Orthodontic Treatment
Risks of treatment
Orthodontic Appliances
Braces
Lingual Braces
Functional Appliances
Headgear
Elastics
Removable appliances
Maxillary expansion
Retainers
Sequential Plastic Aligners
Other Appliances
Caring for Teeth and Gums
Wisdom Teeth
Jaw Surgery
Cost
Orthodontic Emergencies
FAQs
Orthodontists
What is an Orthodontist?
Find an Orthodontist
Become an Orthodontist
Find an Orthodontist
Orthodontic Meetings
IOC-WFO (Sydney 2010)
ASO Meetings
ASO Congress - AOC
ASO Foundation Meeting
ASO State Branch Meetings
International Meetings
Orthodontic Links
Academic Links
Aust Dental Schools
Aust Orthodontic Alumni
Dental Resources
Dental Societies
Journals
Orthodontic Companies
Orthodontic Societies
ASO - General Information
What is the ASO?
ASO History
ASO Office Bearers
ASO Federal Office Bearers
ASO Committees
ASO State Branches
New South Wales
Queensland
South Australian
Victoria
Western Australia
ASO Affiliated Societies
ADA
APOS
NZAO
WFO
ASO Awards
ASO Member Application
Continuing Education
AOB
DPBV
Classified Advertisements
Recent Graduates
News & Press Releases
ASO - Contact us
ASO - Journal
ASO - AOB
ASO - Foundation
ASO - Congress
ASO - Give a Smile
ASO - Member Login
Search site
Home
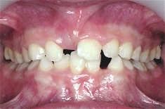
Orthodontic problems: Impacted teeth
Impacted teeth don't have sufficient space to erupt.
Orthodontic treatment involves creating space to allow the impacted tooth to erupt.
© Australian Society of Orthodontists