Removable appliances

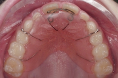
Removable appliances are used to move teeth with wire springs. These springs do not move teeth as accurately as braces do, so the use of removable appliances is limited to simple tooth movements, usually in children who are yet to lose all of their deciduous teeth.

The wire springs are attached to a smooth, pink, plastic supporting plate which is held securely in the mouth by wire clasps.

The removable appliance pictured on the right was used to push the two front teeth forwards.

Removable appliances are also used to maintain tooth position (see retainers), as functional appliances (see functional appliances) and as bite plates.

 

 

 

removable appliance

   
    © Australian Society of Orthodontists