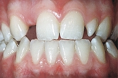
| Missing teeth usually result in unattractive spaces.
Opposing and adjacent teeth can drift into the space to create further problems.
Orthodontic treatment involves moving all teeth into correct position, and creating proper space to facilitate replacement of the missing teeth with prostheses.
In certain situations, it is possible to close the spaces and avoid having to replace teeth with prostheses.
|